服務項目
|
|
|
|
|
|
|
|
|
|
|
|
|
|
|
|
|
|
|
|
|
|
|
|
|
|
|
|
|
|
|
|
|
|
|
|
|
|
|
|
|
|
|
|
|
|
|
|
|
口腔健康知識
- 冬季預防口腔炎癥刷牙杯要常清洗
- 嬰幼兒健康營養指南
- 補牙后要少吃口香糖
- 矯正牙列不齊的方法有那些?
- “蟲牙”真的是牙齒被蟲吃了嗎?
- 孕期及產后的口腔保健
- 牙疼送了命?!這3種牙疼別強忍
- 牙齒美白切勿走進誤區“含醋刷牙...
聯系我們

岳池楊銳口腔診所有限責任公司
地 址:岳池縣九龍鎮環城東路40號
電 話:5236408
手機: 向主任:15982622228
李主任: 13982667676
診所簡介
|
以創建“安全、科學、潔凈、舒適”的口腔醫療服務新標準為核心理念。自成立之日起于將“口腔醫療管理、服務理念”融入到企業文化中,引進口腔醫療管理流程、運營模式,以“塑造川東北端口腔醫療品牌”為己任;先后與川北醫學院、德陽口腔醫院、內江口腔醫院、華西醫大、登特等口腔醫療機構開展經驗、技術交流活動,取長補短,逐步形成醫療服務及管理模式。
設六大業務:牙齒種植、牙齒美白、牙齒矯正、牙齒治療、牙齒修復、牙齒保健等全方位的口腔診療業務。
|
真實病例
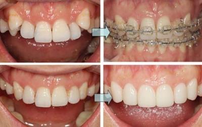
正畸案例1
前牙美學修復種植案例2
根管治療案例3
DSD微笑修復案例4
牙周治療案例5
潔牙案例6
新聞報道
- 意想不到的10個毀牙習慣
- 種植牙受益者
- 牙痛吃阿司匹林 差點吃送命
診所動態
- 愛牙日——“口腔健康 全身...
- 廣安市******例DIO數字化種植牙
- 暑假正畸活動進行中
- 楊銳牙科回饋活動正在進行中
友情鏈接
- 百度一下